2026.3.3
本文提出了一种新颖的变分Hadamard U-Net (VHU-Net) 模型,通过结合Hadamard变换、可训练半软阈值层和变分推理框架,有效校正体部MRI中的偏置场伪影,显著提升了图像均匀性、信号质量及下游分割精度,并在多中心数据集上展现出卓越的泛化能力和计算效率。
Title题目
01
VHU-Net: Variational hadamard U-Net for body MRI bias field correction
VHU-Net:用于体部MRI偏置场校正的变分Hadamard U-Net
文献速递介绍
02
偏置场是MRI系统中由主磁场不均匀性引起的平滑、低频乘性畸变,导致图像强度值变化和组织灰度分布不均,从而模糊细节,影响高效检测、准确诊断和鲁棒分割等定量分析。传统方法如N4ITK在脑部MRI中表现良好,但其强度均匀性假设不适用于解剖结构复杂、组织异质性强的体部MRI(如腹部和前列腺),且计算成本高。现有深度学习方法虽有改进,但常需难以获取的标注(偏置场图、组织分割),且大多依赖全局平滑性来估计偏置场,这在体部MRI复杂的异质组织特性下难以适用。此外,一些方法(如MeMGB-Diff)的泛化性仅限于脑部MRI,无法捕捉体部MRI的复杂偏置分布。因此,迫切需要针对体部MRI偏置场校正的深度学习方法。频率域分析对提取低频乘性场至关重要,而Hadamard变换(HT)以其计算效率高、矩阵元素简单而突出。尽管正交变换在特征提取中有效,但其与U-Net等先进架构结合用于MRI偏置场校正尚未充分探索。本文旨在通过提出一种新颖的频率感知变分Hadamard U-Net (VHU-Net) 来解决这些局限性。
Aastract摘要
02
磁共振成像(MRI)扫描中的偏置场伪影引入了空间平滑的强度不均匀性,从而降低了图像质量并阻碍了后续分析。为解决这一挑战,我们提出了一种新颖的变分Hadamard U-Net (VHU-Net) 模型,用于有效的体部MRI偏置场校正。编码器包含多个卷积Hadamard变换块(ConvHTBlocks),每个块都集成了卷积层和Hadamard变换(HT)层。具体而言,HT层执行通道维度的频率分解以分离低频分量,而后续的缩放层和半软阈值机制则抑制冗余高频噪声。为了弥补HT层在建模通道间依赖性方面的不足,解码器中整合了一个逆HT重建Transformer块,从而实现了全局的、频率感知的注意力机制,以恢复空间一致的偏置场。堆叠的解码器ConvHTBlocks进一步增强了重建底层真实偏置场的能力。基于变分推理的原理,我们提出了一个新的证据下界(ELBO)作为训练目标,在确保准确偏置场估计的同时,促进了潜在空间的稀疏性。在体部MRI数据集上进行的综合实验表明,VHU-Net在强度均匀性方面优于现有最先进的方法。此外,校正后的图像显著提高了下游分割精度。我们的框架具有计算效率高、可解释性强和在多中心数据集上表现稳健的特点,使其适用于临床部署。代码可在指定GitHub链接获取。
Method方法
03
本文提出了VHU-Net,一个结合U-Net结构和Hadamard变换的深度学习模型,用于体部MRI偏置场校正。该模型采用变分推理框架,通过最大化证据下界(ELBO)来学习从受偏置场影响的输入图像到真实偏置场的映射。VHU-Net的编码器模块由一系列卷积Hadamard变换块(ConvHTBlocks)组成,每个块包含VGG块、HT层、可训练缩放层和半软阈值层,旨在高效提取低频偏置相关特征并抑制高频冗余。HT层负责通道维度的频率分解,而缩放层和半软阈值层自适应地调整和消除高频分量。解码器模块引入了一个逆HT重建Transformer块(IHTRTB),以克服HT层缺乏通道间依赖建模能力的局限,通过Transformer层捕获全局频率感知注意力模式,并结合半软阈值层进一步去噪,从而恢复空间一致的偏置场。解码器还包含对称的ConvHTBlocks,并通过一个轻量级超网络动态调制特征响应,以适应不同的校正条件。整个训练过程通过ELBO驱动的损失函数进行正则化,该函数通过约束潜在Hadamard系数的稀疏性来提高模型的鲁棒性和泛化性,并辅以平滑正则化项以确保估计偏置场的空间连贯性。
Discussion讨论
04
本研究存在以下局限性:首先,尽管VHU-Net在腹部、乳腺和前列腺MRI中表现出色,但其对其他解剖结构(如大脑、心脏或膝盖)的泛化能力可能有限,因为偏置场特征因组织电磁特性、器官深度和线圈几何结构而异,需系统验证。未来工作应扩展到更大的多中心队列和多样化的采集协议。其次,模型性能依赖于超参数(如ε、λ、δ)的选择,可能需要针对不同扫描仪或场强进行微调;在极端成像条件(如严重运动或极低信噪比)下也可能表现不佳。第三,当前的下游任务评估主要依赖于基于分割的指标,未来研究应纳入分类性能和放射科医生盲审等额外下游任务和临床终点,以更全面地验证其影响。当前实现基于2D架构,尽管2D方法能有效处理各切片中的低频伪影,但未来可考虑3D扩展以利用更丰富的空间特征,进一步提高性能。此外,金属植入物等特殊情况需要专门的伪影减少技术,这是未来研究的明确方向。未来工作还将侧重于参数优化、领域自适应和结合基础模型,以增强跨器官的鲁棒性。
Conclusion结论
05
本研究提出了VHU-Net,一种新颖的频率感知变分架构,旨在有效校正体部MRI中的偏置场。该框架的编码器结合了基于Hadamard变换的ConvHTBlocks,通过可训练的缩放层和半软阈值机制分离与偏置场相关的低频分量并抑制冗余高频噪声。在Hadamard域应用的缩放层可被数学解释为空间域的二元卷积操作,使得VHU-Net在保持元素级操作的计算简便性的同时,实现了卷积层的特征提取能力。解码器整合了IHTRTB,通过捕获通道间关系来恢复全局连贯且解剖学一致的偏置场。多个ConvHTBlocks也增强了解码器重建准确偏置场的能力。此外,轻量级超网络通过通道维度的仿射变换动态调制每个解码阶段的特征响应,增强了对解剖变异的适应性。基于ELBO目标的变分公式有效正则化了潜在表示并提高了偏置场估计的准确性。在各种体部MRI数据集(包括跨中心验证)上的全面评估证明了VHU-Net的鲁棒性和临床潜力。通过提高强度均匀性,VHU-Net不仅改善了视觉图像质量,还显著提高了下游分割性能,有望造福医学成像中的各种临床应用和定量分析。
Results结果
06
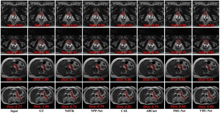
VHU-Net在合成和真实体部MRI数据集(腹部、前列腺、乳腺)上的综合实验表明其优于现有最先进的偏置场校正方法。在合成PanSegData数据集上,VHU-Net在SSIM、PSNR、COCO和CV等所有指标上均表现最佳,尤其在COCO分数上达到0.987,证明了其在模拟条件下的卓越性能。相比N4ITK,VHU-Net的CV降低了8.49%。在真实T2加权PanSegData数据集上,VHU-Net在CV指标上优于所有其他方法,相对N4ITK、ABCnet、NPP-Net、CAE和PHU-Net分别降低了7.20%、2.34%、4.47%、2.30%和3.15%,表明其对真实临床输入的有效泛化能力。在T1加权PanSegData数据集上也取得了最低的CV。在多中心前列腺MRI数据集上,VHU-Net在HK、BIDMC和RUNMC数据集上均表现出卓越的强度均匀性,证实了其跨域泛化能力。在乳腺MRI数据集上,VHU-Net在SSIM、PSNR、COCO和CV上均达到最佳,其估计的偏置场最接近真实值。消融研究证实了HT层、IHTRTB、平滑正则化、ELBO和半软阈值层以及超网络的有效性,每个模块的移除都导致性能下降。在下游分割任务中,VHU-Net作为偏置场校正方法,显著提高了TransUNet和nnUNetV2在前列腺和胰腺分割中的Dice、敏感性和PPV分数,尤其是在前列腺分割中,TransUNet的Dice分数从0.686提高到0.756。在计算效率方面,VHU-Net表现出接近实时的推理速度,比N4ITK快100多倍,并在处理速度和校正精度之间取得了良好的平衡。
Figure图
07

图1.(a) 观察到的腹部MRI图像;(b) 偏置场校正后的图像;© 偏置场;(d-f) 分别对应于(a-c)的频率谱。

图2.(a) VHU-Net架构;(b) 偏置场校正工作流程概述。

图3.(a) ConvHTBlock;(b) HT层。

图4.阈值函数的可视化。

图5.逆Hadamard变换重建Transformer块。

图6.MRI偏置场的模拟。参数r和l决定了偏置场的空间平滑度。

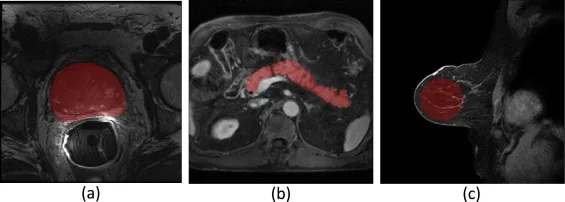
图7.不同MRI数据集的感兴趣区域(ROI)可视化:(a) 前列腺MRI,(b) 腹部MRI,和 © 乳腺MRI。红色区域表示ROI。

图8.合成PanSegData上的定性比较。从上到下,各行分别显示校正后的MRI图像、局部放大视图和估计的偏置场。

图9真实T2加权PanSegData上的定性比较。从上到下,各行分别显示校正后的MRI图像、局部放大视图和估计的偏置场。

图10真实T1加权PanSegData上的定性比较。从上到下,各行分别显示校正后的MRI图像、局部放大视图和估计的偏置场。

图11前列腺数据集上的定性比较。从上到下,各行分别显示校正后的MRI图像、局部放大视图和估计的偏置场。

图12T1加权乳腺数据集上的定性比较。从上到下,各行分别显示校正后的MRI图像、局部放大视图和估计的偏置场。

图13消融实验结果。

图14分割实验的定性结果。