2026.2.25
本文提出了AtlasMorph框架,利用卷积配准神经网络学习生成基于年龄、性别等个体属性的条件可变形模板及其解剖标签图,显著提高了配准精度,并能更准确地捕捉脑部MRI的群体趋势。
Title题目
01
AtlasMorph: Learning conditional deformable templates for brain MRI
AtlasMorph:学习脑部MRI的条件可变形模板
文献速递介绍
02
解剖模板在群体研究和图像分析中至关重要,能提供统一坐标系进行统计建模和个体差异分析。然而,传统模板构建计算成本高,通常每个群体只有一个模板,难以捕捉亚群体的独特属性和大数据集的变异性。为特定亚群构建模板常依赖武断的属性划分,且数据量不足时效果不佳。带标签图的模板构建更具挑战性,尤其是有条件模板,因为标注数据稀缺。本文提出AtlasMorph,一个学习策略,旨在通过神经网络根据受试者属性(如年龄、性别)生成条件模板及其解剖标签图,能充分利用所有数据,并处理标签图或属性缺失的情况。本文扩展了先前的工作,增加了对解剖标签图模板的建模,改进了条件模板的中心性建模,并在实验中展示了其在配准质量和捕捉群体趋势方面的优越性。
Aastract摘要
02
可变形模板(或称图谱)在医学图像分析中广泛应用于群体研究、配准和分割等任务,它们代表了人群的典型解剖结构,并常辅以概率解剖标签图。然而,模板的开发计算成本高昂,导致可用模板数量有限,在处理具有较大变异性的群体时,现有分析常因模板代表性不足而次优。本文提出一个机器学习框架,利用卷积配准神经网络高效地学习一个函数,该函数能根据年龄、性别等受试者特定属性输出条件模板,并在有分割数据时生成相应的解剖分割图。该网络也可用于将受试者图像配准到模板。研究在3D脑部MRI数据集上验证了该方法,表明其能学习高质量且具代表性的模板。结果显示,带有标注的条件模板比无标注的无条件模板能实现更优的配准效果,并超越了其他模板构建方法。
Method方法
03
本文提出了一种生成式概率模型,用于构建具有相应概率分割图的解剖条件模板。方法引入了新的采样策略来准确近似条件模板的中心性,并推导了新的损失函数,证明了无条件和无标签模板是条件模板函数的特例。AtlasMorph框架包含两个主要神经网络:f_theta_t(a)根据属性a生成模板(包括强度体素和标签概率图),而h_theta_v(t,xi)则估计将生成模板t与受试者xi对齐的速度场,该子网络采用类似UNet的架构。模型利用微分同胚变形场以确保解剖保真度,并结合损失项以鼓励模板的中心性和变形场的平滑性。此外,文章还详细阐述了推断过程、模型变体(无属性或无标签图训练)以及具体实现细节,包括UNet设计和训练参数。
Discussion讨论
04
AtlasMorph的卓越性能凸显了联合学习条件模板和标签图的优势。模型能够生成年龄和性别等属性特定的模板,提供了更具代表性的解剖模型,从而提高了配准精度和群体趋势分析的准确性。新的中心性模型有效指导模板学习,使其更好地反映真实群体特征,弥补了以往工作的局限性。极小的雅可比行列式反转值验证了学习变换的解剖学合理性。该方法为医学图像分析领域带来了重要进展,提供了一种高效、数据驱动的方法来生成高质量、属性特异的解剖图谱,克服了传统方法在计算负担和代表性方面的限制。然而,本研究的局限性在于其主要关注少数属性(如年龄、性别和疾病诊断)。纳入更多属性(如APOE基因变异)会带来平衡其对模板影响的新挑战。此外,由于计算资源限制,未能使用所有可用数据构建多个ANTs模板,这可能导致对ANTs性能的轻微低估。
Conclusion结论
05
AtlasMorph成功学习了逼真且具有代表性的脑部解剖条件模板及其标签图。该方法能捕捉年龄相关的脑萎缩等重要群体趋势,对群体研究和疾病诊断具有重要意义。新的条件中心性公式使得模板比以往工作更能代表亚群体。学习条件标签图显著提升了分割性能,并省去了后处理对齐的步骤。AtlasMorph在性能上超越了无条件和条件ANTs模板以及无条件AtlasMorph消融模型。未来研究将探索该框架在分布漂移下的潜力,包括不同采集场景、低质量临床数据或有限数据,并计划开发模态不变模板。AtlasMorph实现了模板的快速高效生成,有望在医学影像研究中引发范式转变,极大提升配准质量和群体表征能力。
Results结果
06
研究结果显示,AtlasMorph生成的模板明显比简单平均法获得的模板更清晰。条件模板成功捕捉了与年龄相关的萎缩现象,如脑室增大和海马体缩小,这与已知的群体趋势一致。在配准性能方面,AtlasMorph模型在Dice评分和表面距离上持续优于所有基线方法,包括ANTs和Aladdin变体。联合学习标签图与强度模板显著提高了性能,且条件变体略优于无条件变体。尽管年轻受试者的分割结果相对较差,可能与数据不平衡有关,但AtlasMorph在所有年龄段均表现最佳。变形场规则性良好,雅可比行列式的负值数量微不足道,表明其具有解剖学上的合理性。新的中心性损失公式使AtlasMorph比LT2019模型更能准确捕捉群体趋势,这在脑室和海马体体积分析中得到证实。此外,使用100个受试者平均值进行初始化比单个随机受试者初始化能获得更稳定、更优异的结果。AtlasMorph还成功学习了结合认知障碍(AD、MCI、CN)等额外属性的模板。
Figure图
07

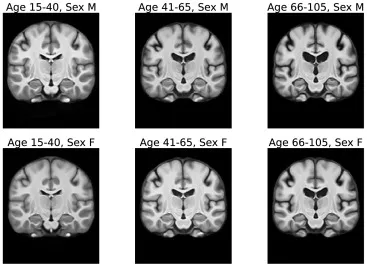
图1.AtlasMorph开发的条件模板,作为年龄的函数。

图2.AtlasMorph架构。我们采用两个主要网络:一个解码器,根据属性创建模板(3D体素和相应的分割图);另一个是配准网络,用于将受试者图像与模板对齐。我们通过一个损失函数(它是受试者扫描、形变模板和变形场的函数)共同学习这些网络。解码器和UNet包含可学习的权重。我们估计体素模板和相应的标签图,如阴影可选框所示。

图3. 训练集中受试者的统计数据。左图:受试者年龄分布。右图:受试者性别分布。

图4. 通过对训练数据中前100名受试者进行平均来构建模板。上图:通过平均获得的强度模板。下图:与平均强度模板对应的标签图。通过平均构建的模板明显不如AtlasMorph模板清晰。

图5.通过AtlasMorph获得的强度模板。左图:无条件强度模板。右图:从我们学习到的模板函数中抽样得到的年龄从10岁到90岁的条件强度模板,从左到右。条件模板捕捉到了年龄相关的萎缩的已知迹象,如在图12中分析。

图6.通过AtlasMorph获得的标签图模板。左图:无条件标签图模板。右图:条件标签图。从我们学习到的模板函数中抽样得到的年龄从10岁到90岁的模板,从左到右。标签图的可视化是通过为每个类别分配最高概率的标签获得的。条件模板捕捉到了年龄相关的萎缩的已知迹象。

图7.根据测试数据的年龄评估的Dice分数,越高越好。阴影区域表示每个年龄段扫描的标注标准偏差。(上):AtlasMorph与其他变体比较。(下):AtlasMorph与其他基线比较。

图8.测试集的平均Dice分数(左)和表面距离(右)。误差条对应95%置信区间。对于Dice分数,越高越好。对于表面距离,越低越好。

图9.对3D测试数据变形场的平滑度(左)和规则性(中和右侧放大图)进行评估。对于不同的模型变体,我们评估了变形场梯度的平均范数以及体积中雅可比行列式为负值的元素百分比。误差条对应95%置信区间。值越低越好。

图10.5名随机受试者的配准示例。从左到右:受试者、变形到受试者的模板、变形场、模板以及受试者变形到模板。模板是受试者年龄和性别的条件函数。

图11.5名随机受试者在切片108上的雅可比行列式示例。雅可比行列式的值接近1,这表明变形场在解剖学上是合理的。

图12测试集中基于年龄条件的脑室和海马体体积的中心性。蓝色点显示了每张脑部MRI的结构大小(左侧为脑室,右侧为海马体),按受试者进行MRI时的年龄排序。橙色星线表示AtlasMorph捕捉到的体积。红色表示核方法捕捉到的体积,绿色表示LT2019(Dalca et al., 2019a)捕捉到的体积。AtlasMorph比LT2019更接近地捕捉了人群趋势。

图13将所提出的中心性模型与所有结构的基线(未加权)版本进行比较。我们计算了AtlasMorph模板的结构体积与两种中心性定义的基于核的估计之间的相对误差,并显示了测试集中每种结构的相对误差分布。AtlasMorph生成的模板更接近人群。

图14学习AtlasMorph时不同初始化的影响。在Dice分数(左)和表面距离(右)方面,使用多名受试者平均值进行初始化比使用单个受试者进行初始化能获得更好、更稳定的结果。

图15基于年龄、性别和认知状态属性学习的模板及其相应的分割标签。从左到右:认知正常、轻度认知障碍和阿尔茨海默病。对于每个认知组,我们展示了四个年龄增长阶段(55到90岁)的模板,并将性别固定为男性。

图16VxM-Single-no-Seg中使用的迭代模板,采用经典模板构建技术构建。

图17我们的配准基线中使用的ANTs-Single-no-Seg迭代模板。显示的是使用ANTs SyGN构建的模板,按年龄和性别均匀采样100名受试者。

图18我们的配准基线中使用的ANTs-Frag-no-Seg迭代模板。这些模板是通过对按年龄和性别划分的六个不同人群亚组应用ANTs SyGN算法构建的。每个组有100名受试者。

图19使用Aladdin在整个人群上学习到的Aladdin-Single模板。

图20使用Aladdin对人群进行分箱后学习到的Aladdin-Frag模板。这些模板是针对每个人群亚组(按年龄和性别划分)使用一个模型学习的。

图21使用不同种子构建的不同ANTs+VxM-Single-no-Seg模板的Dice分数按年龄评估。Dice分数越高越好。阴影区域表示每个年龄段的标准差。

图22将所提出的中心性模型与所有结构的基线(未加权)版本进行比较。我们计算了AtlasMorph模板的脑室体积与两种中心性定义的基于核的估计之间的相对误差,并显示了训练集中每种结构的相对误差分布。AtlasMorph生成的模板对每个属性都更接近人群。

图23比较AtlasMorph和LT2019(Dalca et al., 2019a)的额外脑结构的人群趋势。

图24训练集中基于年龄条件的脑室和海马体体积的中心性。蓝色点显示了每张脑部MRI的结构大小(左侧为脑室,右侧为海马体),按受试者进行MRI时的年龄排序。橙色星线表示AtlasMorph捕捉到的体积。红色表示核方法捕捉到的体积,绿色表示LT2019(Dalca et al., 2019a)捕捉到的体积。AtlasMorph比LT2019更接近地捕捉了人群趋势。