2026.1.15
本研究开发并验证了FOREST,一个用于低场MRI下胎儿身体十个主要器官T2*弛豫自动测量的端到端流程,并生成了17-40周胎龄的正常T2*生长曲线,证明了低场胎儿MRI在高级临床分析中的可行性。
Title题目
01
Fetal body organ T2* relaxometry at low field strength (FOREST)
低场强下胎儿身体器官T2*弛豫测定(FOREST)
文献速递介绍
02
胎儿MRI是产前成像的重要工具,尤其在补充超声诊断复杂胎儿异常方面。T2*映射作为一种功能性定量成像技术,通过测量血氧饱和度间接反映组织功能,具有作为重要产前生物标志物的潜力。尽管T2*值与胎龄、胎盘功能异常(如子痫前期、胎儿生长受限)等存在关联,但其临床应用受限于胎儿运动和耗时的手动分割。传统的T2* MRI通常使用低分辨率图像,限制了对小器官的分析,并易受运动伪影和部分容积效应影响。虽然高分辨率T2加权图像重建技术已成熟,但高分辨率T2*图谱重建仍处于概念验证阶段。低场MRI具有减少磁敏感伪影、延长T2*弛豫时间以及更宽孔径的优势,为胎儿T2*映射提供了良好环境。本研究旨在介绍FOREST,一个自动化流程,用于低场MRI下胎儿身体器官的定量平均T2*测量,并建立17-40周胎龄的常模生长曲线,以期推动T2*胎儿身体映射在研究和临床中的应用。
Aastract摘要
02
低场强(0.55T)胎儿磁共振成像(MRI)在临床和研究领域均是一个令人兴奋的新兴方向,它因减少的磁敏感伪影、增加的T2*值和更宽的孔径而对胎儿成像具有优势。然而,缺乏标准化的自动化图像处理工具(如分割和重建)阻碍了其更广泛的临床应用。本研究提出了“低场强下胎儿身体器官T2*弛豫测定”(FOREST)流程,用于分析胎儿的十个主要身体器官。该流程获取动态多回波多梯度序列,并自动重新定向到标准平面,使用可变形切片到体素重建(dSVR)重建为高分辨率体,然后自动分割成十个主要胎儿器官。我们通过专家间质量分析对FOREST进行了广泛验证。随后,我们使用100名胎龄范围广泛(17-40孕周)的对照受试者,构建了胎儿T2*身体器官生长曲线,以研究T2*与胎龄的关系。除胃和脾脏外,所有器官的T2*值都与胎龄存在显著关系(p<0.05)。FOREST对胎儿运动具有鲁棒性,可用于正常胎儿和病理胎儿。低场胎儿MRI可用于执行高级MRI分析,是临床扫描的可行选择。
Method方法
03
本研究基于一项经伦理批准的前瞻性单中心研究(MEERKAT)。纳入标准为单胎妊娠和母亲年龄大于18岁,排除多胎妊娠、年龄小于18岁、无法同意、体重超过200公斤以及MRI禁忌症。数据可根据合理的学术请求提供,FOREST管道在GitHub上公开。图像采集使用0.55T临床扫描仪,采用6元毯式线圈和9元脊柱线圈,获取全子宫多回波多梯度回波平面成像(EPI)序列。图像处理流程包括:首先手动移除动态序列中过度运动的帧,这是唯一的需要人工干预的步骤;然后对剩余动态序列进行PCA去噪。接着,通过训练的卷积神经网络(CNN)对胎儿身体进行粗略到精细的两步分割,并根据分割结果将图像重新定向到标准胎儿图谱空间。利用多通道可变形切片到体素重建(dSVR)算法,将所有回波数据同时重建为高分辨率3D体。随后,使用定制的Python脚本对三个重建回波进行单指数衰减拟合,计算每个体素的T2*图谱,并排除T2*值高于600ms的体素。最后,使用nnUNet对重建的3D体进行十个胎儿身体器官的自动分割。通过对100个对照病例的器官特异性体积和平均T2*值进行线性或二次回归分析,生成生长曲线,并用R2和p值评估其与胎龄的关系。为了验证重建和分割质量,三名胎儿MRI专家对20个病例的重建质量和10个器官标签的质量进行了评分,并比较了不同回波数量和T2*图谱生成方法的差异。
Discussion讨论
04
本文提出的FOREST是一个鲁棒的半自动化流程,能够从低场多动态、多回波梯度回波MRI序列中确定十个胎儿身体器官的平均T2*值和体积。该研究克服了胎儿身体T2*弛豫测定在临床和研究中广泛应用的显著限制,并证明了定量胎儿低场MRI的临床实用性。FOREST通过自动化图像重新定向、配准和分割等繁琐的手动步骤,成功应用于大样本量(超过100例)的广泛胎龄(17-40周)和孕妇BMI(20-41)范围。尽管有7例病例因过度运动被移除,其中6例胎龄很小(≤20周),但FOREST在20周胎龄后表现出更高的可靠性。研究通过广泛验证确认了三回波足以进行准确的T2*计算,并且直接拟合重建回波的T2*图谱与计算成本更高的重建多个T2*图谱方法结果等效。多位专家对重建和分割质量的分析也证实了其高品质,尽管肾上腺分割被评为较差,但其T2*曲线仍与胎龄呈强相关。肾上腺分割的挑战可能源于其尺寸小、可视化困难以及在评级量表上更大的相对影响。多通道与单通道分割网络性能差异微小,表明多回波序列在图像信息上过于相似。对照组样本量(N=100)允许创建全面的常模T2*曲线,为临床应用和新研究问题(如母亲糖尿病中脾脏或肾上腺的评估)奠定了基础。关于胎儿肺和肝脏T2*变化的现有文献存在矛盾,本研究的发现可能与血管化程度、血红蛋白类型转换等因素有关。胃部作为充满液体的器官,T2*值无明显趋势是符合预期的。本研究中所有器官体积的增长趋势与预期一致,进一步验证了分割的准确性。某些器官如胆囊、膀胱和胃在晚期妊娠中体积变异性大,可能与周期性充盈和排空有关。未来工作包括改进肾上腺分割,自动化运动动态移除的手动步骤,以及利用纵向数据深入理解个体胎儿生长发育模式,这对于胎儿生长受限等疾病具有潜在的临床意义。研究的局限性在于对特定胎儿病理的评估能力受限于招募方式,且流程主要在单一低场扫描仪上测试,需在不同地点和场强进行验证。
Conclusion结论
05
FOREST流程成功应用于17-40周的广泛胎龄范围,对运动伪影具有鲁棒性。本研究表明,低场胎儿MRI是进行高级MRI分析的绝佳选择,也是临床扫描的可行方案。低场MRI实现的较长T2*值和由此带来的胎儿身体优秀对比度有助于图像重建。FOREST将为肾上腺和胆囊等尚未充分探索的胎儿身体器官的发育提供新见解。对超过100个病例在广泛胎龄和孕妇BMI范围内的广泛验证以及最少的用户交互需求,为临床应用铺平了道路。它还促进了以无创方式研究人类早期发育中胎儿器官生长和供应的新研究问题的提出。低场胎儿MRI、定量成像和全面图像分析流程的结合,可能对我们理解整个妊娠期胎儿身体发育产生重大影响,并可能提供临床产前生物标志物。
Results结果
06
研究共对127例胎儿进行了低场扫描,其中120例(100例对照,20例病理,平均胎龄29.91±5.77周)在去除过度运动帧后成功进行了3D体积重建;有7例因运动伪影严重导致重建失败而被排除,其中6例胎龄小于等于20周。图1展示了FOREST的完整流程,图2展示了多回波序列的三个回波示例,图3展示了纳入研究的120名参与者的胎龄分布直方图,图4展示了运动伪影的动态图像和重建后的3D体积。自动分割的示例见图6。对20个测试病例的重建质量和分割网络生成的标签质量进行了中位数评分分析(图5,表2),结果显示,重建质量大部分为良好或优秀。除了肾上腺,所有器官的分割质量普遍为“良好”或“优秀”。T2*图谱参数比较显示,使用三回波进行T2*拟合与四回波结果相当,并且使用重建后的回波进行T2*拟合与之前重建T2*图谱的方法结果一致(图7),表明这些测量是等效的。对100例对照病例的分析生成了平均T2*生长曲线(图8)和体积生长曲线(图9)。结果显示,肺部和肝脏的平均T2*值随胎龄显著增加,而肾实质、肾盂、膀胱、胸腺、胆囊和肾上腺的T2*值随胎龄显著降低(p<0.05)。胃和脾脏的T2*值与胎龄无显著关系。所有器官的体积均与胎龄呈显著关系,其中肺、肾盂和胆囊呈线性生长,其余器官呈二次生长。对少数具有三个扫描时间点的受试者进行的个体分析显示,其T2*趋势与群体生长曲线一致(图10)。此外,FOREST流程在3T MRI数据上也展示了其可行性(图11)。
Figure图
07

图1.低场下定量T2*胎儿身体MRI和分割的完整FOREST流程(从左到右)。图像采集后,图像经过去噪处理,使用卷积神经网络(CNN)分割胎儿身体,然后分割主要器官(肺、心脏、肝脏、腹部)以将胎儿身体重新定向到标准空间。接下来,对每个采集到的回波进行可变形切片到体素重建(dSVR),然后使用所有三个重建回波进行T2*拟合,并分割成十个胎儿身体器官。计算每个器官的平均T2*值并与胎龄(GA)进行比较。

图2.使用多回波梯度回波序列采集的单个动态图像的三个回波演示。

图3.本研究中纳入的120名多回波多梯度动态序列参与者的胎龄直方图。7个排除病例中有6个胎龄小于等于20.0周,其余1个排除病例为23.6周胎龄。

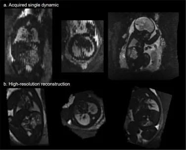
图4.上排(a):重建前单个有运动伪影的动态图像示例。请注意左侧和中间图像中可见的切片之间的运动伪影;下排(b):同一病例在所有三个平面上重建后的3D体积,运动伪影已消除。

图5.每个标签和分割网络的中位数评分计数;MC:多通道网络;SC:单通道网络。差——需要修正50%以上;好——需要修正约25%;优秀——几乎不需要修正(小于5%)。当评分者被问及标签网络偏好时,16/20的病例标签图被认为是相同的,4/20的病例评分者更偏好多通道网络生成的标签。

图6.从左到右:第二个回波的胎儿可变形切片到体素重建(dSVR)示例;T2*图dSVR(使用“地狱”色图显示,从深蓝色(0 ms)到亮黄色(1000 ms));多通道网络生成的标签图;叠加在第二个回波3D体积重建上的器官T2*图。上排:胎龄35.71周,下排:胎龄23.14周。

图7.Bland-Altman图比较使用不同方法确定的平均T2*肺值。左图:比较来自三回波拟合和四回波拟合(均在原始未重建图像上进行)的五个动态的平均胎儿肺T2*测量值;中图:比较平均三回波胎儿肺T2*值和重建的T2*胎儿肺值(如Payette等人(2023)所述);右图:比较平均三回波胎儿肺T2*值和来自三回波拟合的平均T2*值。蓝色:在2个标准差范围内的点;红色:超出2个标准差的点。

图8.此处显示了对照组病例(蓝色)和病理组病例(红色)的十个器官的平均T2*生长曲线。所有拟合仅在对照组病例上进行。平均T2*拟合的R2值如下:肺:0.116;肝脏:0.292;胃:3.859;脾脏:0.004;肾盂:0.463;肾实质:0.828;膀胱:0.251;胸腺:0.042;胆囊:0.155;肾上腺:0.481。病理病例是多种病理的混合,如表1所示,无法进行统计分析。

图9.此处显示了FOREST流程获得的十个胎儿身体器官的体积生长曲线,包括对照组病例(蓝色)和病理组病例(红色)。所有拟合仅在对照组受试者上进行。平均T2*拟合的R2值如下:肺:0.690;肝脏:0.930;胃:0.521;脾脏:0.915;肾盂:0.657;肾实质:0.874;膀胱:0.552;胸腺:0.749;胆囊:0.239;肾上腺:0.835。所有器官体积都与胎龄呈强相关。除胆囊外,所有器官均呈二次增长。

图10.两名具有三个扫描时间点的受试者的肺、肝脏和肾实质的平均T2*曲线。

图11.在3T扫描仪上使用多回波梯度回波EPI序列运行FOREST的示例,胎龄26 + 5周。