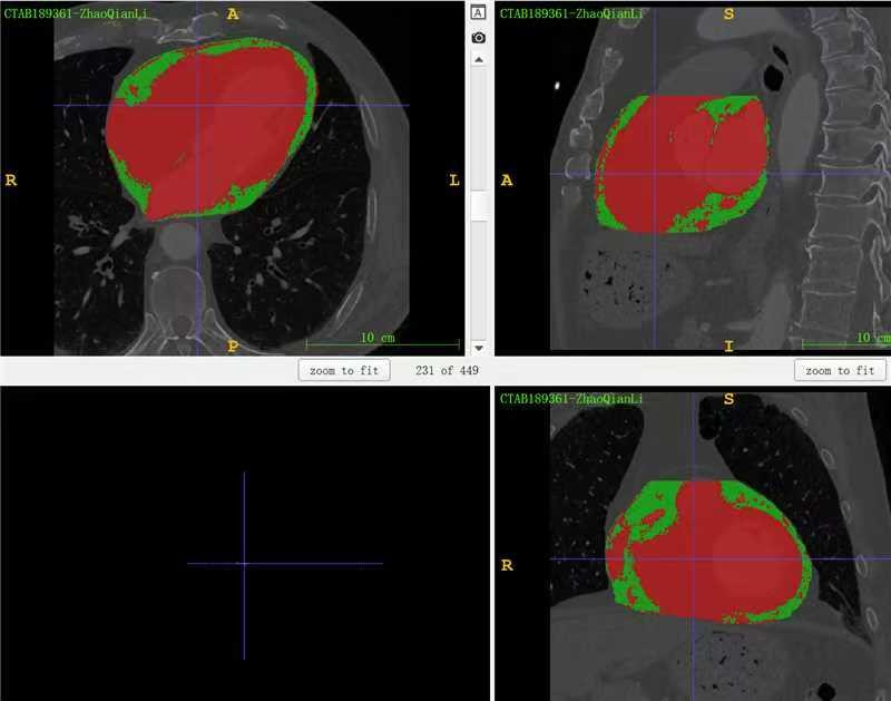
一共460例,由3名分别具有1年、5年、25年胸部放射诊断经验的住院医师、主任医师将每例患者的CCTA图像导入至 3D Slicer 5.2.0 软件,分别通过半自动方法,逐层勾画心包轮廓并通过-200HU~30HU范围阈值分割出CCTA全部脂肪密度区域,应用布尔运算提取出心包轮廓内的脂肪组织,医师人工复核确认心包脂肪区域轮廓符合客观情况;在心包边界不清的位置,以肺门胸膜反折、左心房后壁等结构作为参考,对于因成像时图像重建过滤器不同而导致的标准差过高的病例,阈值分割后增加人工复核一次,将心肌、血管等结构排除出勾画区域。在上述统一标准下完成勾画任务,勾画完成后,将原始CCTA和掩膜分别保存为三维NIfTI格式文件。为了减少勾画任务的信息偏倚干扰,3名参与勾画任务的医师事先均不告知研究目的、各CCTA病例患者的相关临床资料。
ref随便列了几个,勾画前做的文献调研没记录了,有兴趣可以自己做一下检索
Lazaros, G., Antonopoulos, A., Antoniades, C., & Tousoulis, D. (2018). The Role of Epicardial Fat in Pericardial Diseases. Current Cardiology Reports, 20(6).
Guglielmo, M., Lin, A., Dey, D., Baggiano, A., Fusini, L., Muscogiuri, G., & Pontone, G. (2021). Epicardial fat and coronary artery disease: Role of cardiac imaging. Atherosclerosis, 321, 30–38.
Bandekar, A. N., Naghavi, M., & Kakadiaris, I. A. (2006). Automated Pericardial Fat Quantification in CT Data. 2006 International Conference of the IEEE Engineering in Medicine and Biology Society.
吴坚,张兴华,具海月,张帆,杨立.应用冠状动脉CTA图像测定冠心病患者心包内、外脂肪体积[J].南方医科大学学报,2011,31(03):453-456.