Title
题目
Personalized predictions of Glioblastoma infiltration: Mathematical models,Physics-Informed Neural Networks and multimodal scans
胶质母细胞瘤浸润的个性化预测:数学模型、基于物理信息的神经网络以及多模态扫描
01
文献速递介绍
胶质母细胞瘤(GBM)是一种常见且极具侵袭性的脑肿瘤,中位生存期为15个月(斯图普等人,2014年,2005年)。目前胶质母细胞瘤的标准治疗方案包括在确诊后立即切除可见肿瘤,随后针对残留肿瘤进行放疗和化疗(费尔南德斯等人,2017年)。尽管进行了强化治疗,但胶质母细胞瘤的预后仍然很差,因为几乎所有的胶质母细胞瘤都会复发。胶质母细胞瘤的高复发率归因于其浸润性。肿瘤并非形成清晰的边界,而是侵入周围看似正常的脑组织(苏哈米等人,2004年;哈尔佩林等人,1989年)。肿瘤细胞的浸润模式是异质性的,并且在不同患者之间差异很大。因此,从可见肿瘤均匀向外扩展1.5-3厘米的标准临床放疗靶区(CTV),可能不足以实现最佳的覆盖和分布(斯图普等人,2005年)。 提高放疗治疗计划的一个关键步骤,是需要以数据驱动且针对特定患者的方式来估计肿瘤细胞的分布(利普科娃等人,2019年;昂克尔巴赫等人,2014年;罗克尼等人,2010年、2015年、2019年)。 肿瘤生长的数学模型有助于预测肿瘤的进展,并为患者的个性化治疗决策提供指导(鲍多克等人,2013年;利普科娃等人,2019年;布特纳等人,2022年;叶若夫等人,2023年;乔杜里等人,2023年;苏布拉马尼亚姆等人,2023年;洛伦佐等人,2023年;吴等人,2022年)。胶质母细胞瘤的生长通常使用反应-扩散类型的偏微分方程(PDE)来建模,这些方程描述了肿瘤细胞密度的时空演变,并捕捉了肿瘤的主要行为:增殖和浸润(哈波尔德等人,2007年)。更先进的模型纳入了其他特征,包括质量效应(霍贾等人,2007年;苏布拉马尼亚姆等人,2019年;利普科娃等人,2022年)、血管生成(麦克林等人,2009年;索特等人,2014年;严等人,2017年)、趋化性(卢等人,2022年、2023年)以及多种细胞类型(柯廷等人,2020年;严等人,2017年)。关于胶质母细胞瘤数学建模的全面综述,可参见阿方索等人(2017年)、法尔科等人(2021年)和约根森等人(2023年)的研究。 为了在临床环境中应用这些模型,必须从临床数据中估计出偏微分方程中针对特定患者的参数,这是一个具有挑战性的反问题。除了在求解偏微分方程以预测肿瘤细胞密度分布方面很有用之外,这些针对特定患者的参数本身作为基于生物物理学的特征,对于改善患者分层和生存预测也很有价值。例如,最近的研究表明,与图像中的体积特征相比,这些生物物理特征与生存时间的相关性更好(苏布拉马尼亚姆等人,2023年)。此外,增殖速率与扩散速率的比率,是评估IDH野生型胶质母细胞瘤患者超边缘切除有效性的关键(特里帕蒂等人,2021年)。 这个反问题通常在偏微分方程约束优化的框架内求解(芒格等人,2012年;霍贾等人,2008年;舍费勒等人,2020年、2021年;苏布拉马尼亚姆等人,2020b、a,2023年),或者通过贝叶斯推理来解决(门泽等人,2011年;利普科娃等人,2019年;叶若夫等人,2019年、2022a)。机器学习方法也被用于加快计算速度,包括学习正向偏微分方程系统的替代模型(叶若夫等人,2022a)、直接学习从观测数据到参数的映射(帕蒂等人,2021年;叶若夫等人,2023年;马滕斯等人,2022年)、使用动态模式分解来构建低维表示(维盖里等人,2022年),以及使用基于网格的离散化方法来优化整合了偏微分方程和数据的离散损失框架(卡尔纳科夫等人,2022年;巴尔采拉克等人,2024a)。除了完整的反应-扩散模型,还可以利用其渐近性质来获得近似的各向异性程函近似,这简化了参数估计和肿瘤细胞密度预测,尽管模型的细节较少(科努科格鲁等人,2010a、b;昂克尔巴赫等人,2014年)。 基于物理信息的神经网络(PINNs)已经成为一种在偏微分方程约束优化框架内解决反问题的新方法(卡尔尼亚达基斯等人,2021年;拉伊西等人,2019年;贾格塔普等人,2022a、b;陈等人,2020年;郑等人,2023年;黄等人,2022年)。在这种方法中,基于物理信息的神经网络将偏微分方程的解表示为一个神经网络,并通过无网格方法(使用自动微分)将数据和偏微分方程都嵌入到损失函数中。通过最小化总损失,基于物理信息的神经网络可以有效地同时求解偏微分方程并拟合数据,展示了数学模型与数据驱动学习过程的整合。这在医学图像分析领域尤其有益,因为临床测量数据往往稀疏且获取成本高昂。基于物理信息的神经网络已被用于结合经颅多普勒测量的血流速度数据,以及控制流速、压力和血管面积的偏微分方程,来估计脑血流动力学(萨拉比安等人,2022年)。基于物理信息的神经网络还被用于利用灌注磁共振数据校准示踪剂动力学模型中的参数,以量化心肌血流量(范赫滕等人,2022年)。朱(2022年)利用合成细胞密度数据探索了基于物理信息的神经网络解决胶质母细胞瘤反问题的潜力。 在这项工作中,我们通过使用反应-扩散偏微分方程模型的解,对医学扫描中可见肿瘤团块之外的胶质母细胞瘤肿瘤细胞密度分布进行个性化预测,模型参数通过单个时间点的三维结构MRI快照来估计。图1概述了我们的方法。我们的数据包括T1钆增强(T1Gd)和液体衰减反转恢复(FLAIR)MRI扫描的单个快照。我们将偏微分方程模型与一个图像模型相结合,该图像模型通过阈值处理将分割结果与肿瘤细胞密度联系起来。我们通过识别与时间无关的参数、对模型进行适当的无量纲化处理以及推断无量纲参数,克服了使用单个时间点数据推断参数的挑战。我们使用基于物理信息的神经网络来求解偏微分方程,并从数据中估计参数。估计出的参数用于预测肿瘤细胞密度,并辅助个性化放疗治疗计划的制定。我们在合成数据和患者数据上验证了我们的方法,在这些数据上我们可以计算诸如分割的DICE系数等定量指标,并将预测的浸润模式与观察到的肿瘤复发情况进行比较。 贡献:我们的贡献如下:(1)我们证明了基于物理信息的神经网络是一种有效且高效的方法,可利用单个时间点的结构MRI数据(这是最常见的可用临床数据)来解决胶质母细胞瘤中偏微分方程参数估计的反问题。(2)引入了一个简单的程序来估计针对特定患者的无量纲特征参数,这有助于对偏微分方程进行缩放,以解决单时间点推断的局限性。(3)我们提出了一个有效的两步训练程序:在预训练步骤中,我们利用针对特定患者的无量纲特征参数来训练基于物理信息的神经网络,以学习偏微分方程的特征解。这为微调阶段提供了一个很好的起点,在微调阶段我们训练基于物理信息的神经网络来学习针对特定患者的参数。(4)我们引入了扩散域方法,以在基于物理信息的神经网络框架内处理复杂的脑部几何结构。 局限性:当前的研究是一项概念验证研究,数据有限,因为获取复发数据具有挑战性。虽然我们目前的方法基于一个简化模型,且缺乏不确定性量化,但我们的方法在以数据驱动和基于物理信息的方式对胶质母细胞瘤的浸润模式进行个性化预测方面显示出了潜力。在3.3节中,我们更详细地讨论了与其他计算方法相比,我们方法的优点和局限性。 在本文的其余部分,第2节阐述了我们方法的各个组成部分,包括肿瘤生长的数学模型(2.1节)、参数估计过程的工作流程(2.2节)以及用于训练基于物理信息的神经网络的损失函数(2.3节)。结果在第3节中呈现,我们首先在合成数据上验证了我们的方法(3.1节),然后将我们的方法应用于患者数据(3.2节)。在3.3节中,我们还讨论了与其他方法相比,我们方法的优点和局限性。结论在第4节中给出。更多的技术细节和结果在附录中给出。
Aastract
摘要
Predicting the infiltration of Glioblastoma (GBM) from medical MRI scans is crucial for understanding tumorgrowth dynamics and designing personalized radiotherapy treatment plans. Mathematical models of GBMgrowth can complement the data in the prediction of spatial distributions of tumor cells. However, this requiresestimating patient-specific parameters of the model from clinical data, which is a challenging inverse problemdue to limited temporal data and the limited time between imaging and diagnosis. This work proposes a methodthat uses Physics-Informed Neural Networks (PINNs) to estimate patient-specific parameters of a reaction–diffusion partial differential equation (PDE) model of GBM growth from a single 3D structural MRI snapshot.PINNs embed both the data and the PDE into a loss function, thus integrating theory and data. Key innovationsinclude the identification and estimation of characteristic non-dimensional parameters, a pre-training step thatutilizes the non-dimensional parameters and a fine-tuning step to determine the patient specific parameters.Additionally, the diffuse-domain method is employed to handle the complex brain geometry within the PINNframework. The method is validated on both synthetic and patient datasets, showing promise for personalizedGBM treatment through parametric inference within clinically relevant timeframes.
从医学磁共振成像(MRI)扫描结果中预测胶质母细胞瘤(GBM)的浸润情况,对于理解肿瘤的生长动态以及设计个性化的放射治疗方案至关重要。胶质母细胞瘤生长的数学模型可以在预测肿瘤细胞的空间分布方面对相关数据起到补充作用。然而,这需要从临床数据中估计出针对特定患者的模型参数,由于时间序列数据有限,以及成像和诊断之间的时间间隔有限,这是一个具有挑战性的反问题。 这项工作提出了一种方法,即利用基于物理信息的神经网络(PINNs),从一张单一的三维结构MRI快照中,估计出描述胶质母细胞瘤生长的反应-扩散偏微分方程(PDE)模型中针对特定患者的参数。基于物理信息的神经网络将数据和偏微分方程都嵌入到损失函数中,从而将理论与数据结合起来。主要的创新点包括对特征无量纲参数的识别和估计、一个利用无量纲参数的预训练步骤,以及一个用于确定特定患者参数的微调步骤。此外,在基于物理信息的神经网络框架内,采用了扩散域方法来处理复杂的脑部几何结构。 该方法在合成数据集和患者数据集上都进行了验证,结果表明,通过在临床相关的时间范围内进行参数推断,该方法在胶质母细胞瘤的个性化治疗方面具有很大的潜力。
Method
方法
2.1.1. Tumor model
We consider the Fisher–KPP PDE, a fundamental model that describes the spatio-temporal evolution of the normalized tumor celldensity 𝑢(𝐱, 𝑡) in a 3D domain 𝛺 consisting of white matter (WM) andgrey matter (GM) regions (Harpold et al., 2007; Swanson et al., 2000).The PDE, with Neumann boundary conditions, is given by
{𝜕𝑢𝜕𝑡= 𝛁 ⋅ (D(𝐱)𝛁𝑢) 𝜌𝑢(1 − 𝑢) in 𝛺𝛁𝑢* ⋅ 𝐧 = 0 on 𝜕𝛺(1)
where 𝜌 [1/day] is the proliferation rate and D(𝐱) [mm2/day] is thediffusion tensor, and 𝐧 is the outward normal vector on the boundary𝜕𝛺*. We further assume that the diffusion is isotropic, and is a weightedsum of the diffusion coefficient in WM and GM, D(𝐱) = 𝐷𝑤𝑃w(𝐱) +𝐷𝑔𝑃g (𝐱), where 𝑃w, 𝑃g are the percentages of white and grey matter,and 𝐷𝑤, 𝐷𝑔 [mm2/day] are the diffusion coefficient in white and greymatter. We model heterogeneous diffusion by assuming 𝐷𝑤 = 𝑐𝐷𝑔with 𝑐 = 10 (Menze et al., 2011; Lipková et al., 2019; Swanson et al.,2000). For a review of this assumption and a comparison with thehomogeneous diffusion case (c = 1), see Appendix A.With the previous assumptions on the diffusion tensor, the originalPDE (1) can be written as𝜕𝑢𝜕𝑡= 𝐷𝛁 ⋅ (𝑃 (𝐱)𝛁𝑢) + 𝜌𝑢(1 − 𝑢) in 𝛺 (2)
where 𝐷 = 𝐷𝑤 is the scalar diffusion coefficient in white matter, and𝑃* (𝐱) = 𝑃𝑤(𝐱) + 𝑐𝑃g (𝐱) defines the geometry of the brain. Here, weloosely use the term ‘‘geometry’’ to refer to both the boundary of thebrain and the tissue distribution. Mathematically, this encompasses theboundary of the PDE domain 𝜕𝛺 and the function 𝑃 (𝐱), which underliesthe heterogeneousdiffusion coefficient. We use an atlas-guided approach to obtain the geometry. In particular, we register the brain atlasused in Lipková et al. (2019) to patient T1w scans by diffeomorphicregistration, and we call this the registered atlas geometry, which isan approximation of the patient brain geometry. While diffeomorphicregistration works well in many cases, some errors may arise near theventricles, especially when there is significant deformation of the braindue to the tumor. For a comparison of the results using affine anddiffeomorphic registration, please see Appendix B. It remains an activearea of research to design registration methods that robustly accountfor significant distortions due to tumor mass effect and post-surgicalresection (Lipková et al., 2019). While we used a single brain atlas here,we could have used multiple atlases and chosen the atlas for registration that most closely matched the patient scans (Subramanian et al.,2023). We assume the initial condition is 𝑢0 (𝐱) = 0.1 exp( −0.1|𝐱 − 𝐱0 | 2 ) ,where 𝐱0 denotes the initial location of the tumor.
我们考虑费希尔-柯尔莫哥洛夫-彼得罗夫斯基-皮斯库诺夫(Fisher–KPP)偏微分方程,这是一个基础模型,用于描述在由白质(WM)和灰质(GM)区域组成的三维区域(\Omega)中,归一化肿瘤细胞密度(u(\mathbf{x}, t))的时空演化过程(哈波尔德等人,2007年;斯旺森等人,2000年)。该偏微分方程带有诺伊曼边界条件,表达式如下: (\begin{cases} \frac{\partial u}{\partial t} = \nabla \cdot (D(\mathbf{x})\nabla u) + \rho u(1 - u) &\text{在 }\Omega\text{ 内}\ \nabla u \cdot \mathbf{n} = 0 &\text{在 }\partial\Omega\text{ 上} \end{cases}) (1) 其中,(\rho) [1/天] 是增殖速率,(D(\mathbf{x})) [(mm2)/天] 是扩散张量,(\mathbf{n}) 是边界(\partial\Omega)上的向外法向量。我们进一步假设扩散是各向同性的,并且是白质和灰质中扩散系数的加权和,即(D(\mathbf{x}) = D_w P_w(\mathbf{x}) + D_g P_g(\mathbf{x})),其中(P_w)、(P_g) 分别是白质和灰质的百分比,(D_w)、(D_g) [(mm2)/天] 是白质和灰质中的扩散系数。我们通过假设(D_w = cD_g)(其中(c = 10))来对非均匀扩散进行建模(门泽等人,2011年;利普科娃等人,2019年;斯旺森等人,2000年)。关于这一假设的回顾以及与均匀扩散情况((c = 1))的比较,见附录A。 基于先前对扩散张量的假设,原始偏微分方程(1)可以写成: (\frac{\partial u}{\partial t} = D\nabla \cdot (P(\mathbf{x})\nabla u) + \rho u(1 - u)) 在(\Omega)内 (2) 其中,(D = D_w) 是白质中的标量扩散系数,(P(\mathbf{x}) = P_w(\mathbf{x}) + cP_g(\mathbf{x})) 定义了大脑的几何结构。这里,我们宽泛地使用“几何结构”这个术语来指代大脑的边界以及组织分布。从数学角度来看,这包括偏微分方程区域的边界(\partial\Omega) 以及函数(P(\mathbf{x})),它是不均匀扩散系数的基础。我们采用图谱引导的方法来获取几何结构。具体而言,我们通过微分同胚配准,将利普科娃等人(2019年)中使用的大脑图谱配准到患者的T1加权(T1w)扫描图像上,我们将此称为配准后的图谱几何结构,它是对患者大脑几何结构的一种近似。虽然微分同胚配准在很多情况下效果良好,但在脑室附近可能会出现一些误差,尤其是当大脑由于肿瘤而发生显著变形时。关于使用仿射配准和微分同胚配准的结果比较,请见附录B。设计能够稳健地考虑由于肿瘤质量效应和术后切除导致的显著变形的配准方法,仍然是一个活跃的研究领域(利普科娃等人,2019年)。虽然我们这里使用了单个大脑图谱,但我们本可以使用多个图谱,并选择与患者扫描图像最匹配的图谱进行配准(苏布拉马尼亚姆等人,2023年)。我们假设初始条件为(u_0(\mathbf{x}) = 0.1 \exp( -0.1|\mathbf{x} - \mathbf{x}0|2 )),其中(\mathbf{x}0) 表示肿瘤的初始位置。
Conclusion
结论
We presented a method employing Physics-Informed Neural Networks (PINNs) to estimate patient-specific parameters of a reaction–diffusion PDE model for the growth of GBM tumors from a singlesnapshot of structural MRI scans. We applied a simple procedure toestimate patient-specific characteristic parameters of the PDE modelusing a 1D model in spherically symmetric geometries and a grid-searchprocedure. The characteristic parameters allowed us to scale the PDE tolearn parameters that are close to unity, and helped us to pre-train thePINN to learn a characteristic solution before fine-tuning the networkwith patient data to estimate the patient-specific parameters, leadingto a more efficient method. Verified on synthetic and patient datasets,the results presented here provide a proof-of-concept that PINNs holdgreat promise for combining medical images and biophysical modelsfor patient-specific tumor growth prediction and treatment planning.
我们提出了一种利用基于物理信息的神经网络(PINNs),从一张结构磁共振成像(MRI)扫描的单张快照中,估计胶质母细胞瘤(GBM)生长的反应-扩散偏微分方程(PDE)模型中特定患者参数的方法。 我们采用了一个简单的程序,通过在球对称几何结构中使用一维模型和网格搜索程序,来估计偏微分方程模型中特定患者的特征参数。这些特征参数使我们能够对偏微分方程进行缩放,从而学习接近单位值的参数。并且,它们帮助我们在使用患者数据对网络进行微调以估计特定患者参数之前,对基于物理信息的神经网络进行预训练,使其学习一个特征解,进而产生了一种更高效的方法。 通过在合成数据集和患者数据集上进行验证,本文呈现的结果提供了一个概念验证,即基于物理信息的神经网络在结合医学图像和生物物理模型,以进行特定患者的肿瘤生长预测和治疗规划方面,具有巨大的潜力。
Results
结果
We start by presenting an overview of the results and our findings.In this work we use 3 different datasets, including data from 24patients, to test and validate our approach:
• Synthetically-generated data, denoted as S1–S8: We specify theground truth (GT) parameters, solve the PDE by the FDM to obtain the cell density, add spatially correlated noise to the density,and generate synthetic segmentations and FET distributions.
• Data from 8 patients (P1–P8), primary tumors and first detectedrecurrence, from Lipková et al. (2019). All the patients have TCand WT segmentations at recurrence.
• Data from 16 patients (Q1–Q16), primary and first detected recurrence, from the Klinikum Rechts Der Isar repository. At recurrence, patients Q1–Q3 have both TC and WT segmentations, theothers only have TC segmentation.
We test parameter estimation using segmentations data and FETPET (denoted as FET+SEG), and using segmentations alone (denoted as*SEG). The difference between the two lies in the loss functions used inthe fine-tuning stage: FET+SEG includes the FET loss FET, in additionto the segmentation loss SEG.
We demonstrate that using segmentation alone achieves resultscomparable to those using segmentation and FET, in contrast to theresults in Lipková et al. (2019) where FET was needed to more accurately determine spatial distributions of the cells, particularly near thetumor center. This finding is noteworthy as FET-PET data is not widelyavailable from the clinic, thereby accentuating the practicality of ourapproach.Furthermore, we examine two methods to predict cell density afterfine-tuning: 𝑢 𝐹𝐷𝑀 , derived from solving the PDE with estimated parameters using the FDM, and 𝑢 𝑃 𝐼𝑁𝑁 , obtained by evaluating the PINN.We show that 𝑢 𝐹𝐷𝑀 is more accurate in solving the PDE as 𝑢 𝑃 𝐼𝑁𝑁 isinfluenced by the noisy data via the loss function. Additionally, theFDM can be used to solve the PDE to any non-dimensional time. However, extending the PDE solution to future times with the PINN requiresre-sampling and extending the collocation points, and retraining thenetwork with the PDE loss, which tends to be more time consuming.
我们首先对研究结果和发现进行概述。 在这项工作中,我们使用了3种不同的数据集,其中包含来自24名患者的数据,以此来测试和验证我们的方法:
合成生成的数据,标记为S1-S8:我们指定真实值(GT)参数,通过有限差分法(FDM)求解偏微分方程以获得细胞密度,向该密度添加空间相关噪声,并生成合成的分割结果和氟乙基酪氨酸(FET)分布。
来自Lipková等人(2019年)研究中8名患者(P1-P8)的原发性肿瘤和首次检测到的复发肿瘤数据。所有患者在肿瘤复发时都有肿瘤核心(TC)和全肿瘤(WT)的分割数据。来自慕尼黑大学伊萨尔右岸医院(Klinikum Rechts Der Isar)数据库中16名患者(Q1-Q16)的原发性肿瘤和首次检测到的复发肿瘤数据。在肿瘤复发时,患者Q1-Q3既有肿瘤核心(TC)又有全肿瘤(WT)的分割数据,其他患者仅有肿瘤核心(TC)的分割数据。 我们使用分割数据和氟乙基酪氨酸正电子发射断层扫描(FET-PET)数据(标记为FET+SEG),以及仅使用分割数据(标记为SEG)来测试参数估计。这两种方式的区别在于微调阶段所使用的损失函数:FET+SEG除了分割损失函数(\mathcal{L}{SEG})之外,还包含了FET损失函数(\mathcal{L}{FET}) 。 我们证明了,仅使用分割数据所取得的结果与使用分割数据和FET数据所取得的结果相当。这与Lipková等人(2019年)的研究结果形成对比,在他们的研究中,需要FET数据来更准确地确定细胞的空间分布,尤其是在肿瘤中心附近。这一发现值得关注,因为FET-PET数据在临床上并不广泛可得,因此凸显了我们方法的实用性。 此外,我们研究了两种在微调后预测细胞密度的方法:(u{FDM}),通过使用有限差分法结合估计参数来求解偏微分方程得到;以及(u{PINN}),通过评估基于物理信息的神经网络(PINN)得到。我们表明,(u{FDM})在求解偏微分方程方面更为准确,因为(u{PINN})会受到损失函数中噪声数据的影响。此外,有限差分法可以用于求解偏微分方程至任意无量纲时间。然而,使用基于物理信息的神经网络(PINN)将偏微分方程的解扩展到未来的时间点,需要对配置点进行重新采样和扩展,并使用偏微分方程损失函数重新训练网络,这往往会更加耗时。
Figure
图

Fig. 1. Overview of the parameter estimation framework. (I) Medical Images show preoperative patient T1Gd and FLAIR scans. (II) Mathematical Model includes a PartialDifferential Equation (PDE) for the tumor cell density 𝑢, and an imaging model that relates medical images with 𝑢 by thresholding (segmentation). The unknown parameters thatneed to be estimated are tabulated. (III) Physics-informed Neural Network (PINN) is used to solve the PDE and estimate parameters from data. See Fig. 2 below for a detailedworkflow. (IV) Prediction and Validation: The estimated parameters can be used in the PDE model to predict the 3D tumor cell density (right), and can be validated via DICEscores (center). Left: The personalized clinical target volume (CTV, blue) based on model predictions is compared with Radiation Therapy Oncology Group (RTOG) CTV (green)to evaluate radiation volume and coverage of tumor recurrence (efficiency).
图1:参数估计框架概述。(I)医学图像展示了患者术前的T1钆增强(T1Gd)和液体衰减反转恢复(FLAIR)扫描图像。(II)数学模型包括一个针对肿瘤细胞密度(u)的偏微分方程(PDE),以及一个通过阈值处理(分割)将医学图像与(u)相关联的成像模型。需要估计的未知参数已列成表格。(III)基于物理信息的神经网络(PINN)用于求解偏微分方程,并从数据中估计参数。具体工作流程详见下面的图2。(IV)预测与验证:估计出的参数可用于偏微分方程模型中,以预测三维肿瘤细胞密度(右侧),并可通过DICE系数进行验证(中间)。左侧:将基于模型预测的个性化临床靶区(CTV,蓝色)与放射治疗肿瘤协作组(RTOG)的临床靶区(CTV,绿色)进行比较,以评估放疗体积以及对肿瘤复发的覆盖情况(有效性)。

Fig. 2. Workflow for patient-specific parameter estimation via PINN. I. Preprocessing: Register the brain atlas to the T1Gd patient scan. Solve the Cahn–Hilliard equation toacquire the geometry. Compute centers and radii of Tumor Core (TC) and Whole Tumor (WT) segmentations (𝑅TC seg and 𝑅W seg T ). II. Grid Search: In a spherically symmetric geometry,use a grid search algorithm to identify patient-specific characteristic values of ̄𝐷∕ ̄𝜌 and ̄𝐿 such that the radii derived from the PDE solution are close to 𝑅TC seg and 𝑅W seg T . III.*Pre-training: Solve the PDE using a Finite Difference Method (FDM) with the patient-specific characteristic parameters (and 𝜇 = 𝜇 = 1) in the registered atlas geometry toobtain a characteristic solution ̄𝑢 𝐹𝐷𝑀 . Train the PINN to solve the PDE using ̄𝑢 𝐹𝐷𝑀 as data. IV. Fine-Tuning: Use the segmentation data to fine-tune the PINN and learn thepatient specific parameters 𝜇 and 𝜇. These estimated parameters are used for tumor cell density predictions.
图2. 通过基于物理信息的神经网络(PINN)进行特定患者参数估计的工作流程。 I. 预处理:将大脑图谱配准到患者的T1钆增强(T1Gd)扫描图像上。求解卡恩 - 希利亚德(Cahn–Hilliard)方程以获取几何结构。计算肿瘤核心(TC)和全肿瘤(WT)分割的中心和半径((R{TC \text{ seg}})和(R{WT \text{ seg}}))。 II. 网格搜索:在球对称几何结构中,使用网格搜索算法来识别特定患者的特征值(\bar{D}/\bar{\rho})和(\bar{L}),使得从偏微分方程解得出的半径接近(R{TC \text{ seg}})和(R{WT \text{ seg}})。 III. 预训练:在配准后的图谱几何结构中,使用有限差分法(FDM),结合特定患者的特征参数(且(\mu{\mathcal{D}} = \mu{\mathcal{R}} = 1))来求解偏微分方程,以获得特征解(\bar{u}{FDM})。使用(\bar{u}{FDM})作为数据来训练基于物理信息的神经网络(PINN)以求解偏微分方程。 IV. 微调:使用分割数据对基于物理信息的神经网络(PINN)进行微调,并学习特定患者的参数(\mu{\mathcal{D}})和(\mu{\mathcal{R}})。这些估计出的参数将用于肿瘤细胞密度的预测。

Fig. 3. Validation using synthetic data. Row 1: (a)–(d). ground truth (GT) data; Row2: (e)–(h). Training data based on GT data with spatially correlated noise; Row 3🙁i)–(l). Parameter estimation using noisy, synthetic FET+SEG data and predictions byevaluating the PINN solution, 𝑢 𝑃 𝐼𝑁𝑁 ; Row 4: (m)–(p). Parameter estimation usingnoisy FET+SEG data and predictions using the FDM solution of the PDE, 𝑢 𝐹𝐷𝑀 , withinferred parameters; Row 5: (q)–(t). Parameter estimation using only the noisy SEGdata and predictions using 𝑢 𝐹𝐷𝑀 . (t): Comparison of contours at 1%, 25%, 50%, and75% between 𝑢 𝐹𝐷𝑀 (solid) and GT 𝑢 (dotted). Column 1: 3D isosurfaces of tumor celldensity at 1% and 𝑦 WT ; Column 2: Cell densities; Column 3: Synthetic segmentationsmimicking TC and WT data; Column 4: Synthetic FET-PET distributions. Further, (k),(o) and (s) show comparisons of predicted segmentations (lines–dashed, solid) withGT segmentations (filled). Comparing rows 3 and 4, 𝑢 𝑃 𝐼𝑁𝑁 is less accurate than 𝑢 𝐹𝐷𝑀as a solution of the PDE with the inferred parameters because 𝑢 𝑃 𝐼𝑁𝑁 is more stronglyinfluenced by the noisy data. Notably, the estimated cell densities from the 𝑢 𝐹𝐷𝑀 usingFET+SEG** and SEG in rows 4 and 5, respectively, are very similar and yield accurateapproximations of the GT data
图3. 使用合成数据进行验证。第一行:(a)至(d)为真实值(GT)数据;第二行:(e)至(h)为基于带有空间相关噪声的真实值数据的训练数据;第三行:(i)至(l)为使用带有噪声的合成FET+SEG数据进行参数估计,并通过评估基于物理信息的神经网络(PINN)的解(u{PINN})来进行预测;第四行:(m)至(p)为使用带有噪声的FET+SEG数据进行参数估计,并使用基于推断参数的偏微分方程的有限差分法(FDM)解(u{FDM})来进行预测;第五行:(q)至(t)为仅使用带有噪声的SEG数据进行参数估计,并使用(u{FDM})来进行预测。(t):(u{FDM})(实线)与真实值(u)(虚线)在1%、25%、50%和75%水平下的轮廓比较。第一列:肿瘤细胞密度在1%和(y{WT})水平下的三维等值面;第二列:细胞密度;第三列:模拟肿瘤核心(TC)和全肿瘤(WT)数据的合成分割结果;第四列:合成的氟乙基酪氨酸正电子发射断层扫描(FET-PET)分布。此外,(k)、(o)和(s)展示了预测的分割结果(虚线、实线)与真实值分割结果(填充区域)的比较。比较第三行和第四行可知,作为基于推断参数的偏微分方程的解,(u{PINN})的准确性不如(u{FDM}),因为(u{PINN})受噪声数据的影响更大。值得注意的是,分别在第四行和第五行中,使用FET+SEG和SEG数据通过(u_{FDM})估计的细胞密度非常相似,并且能够准确地逼近真实值数据。

Fig. 4. Predicted tumor morphologies at times different from that of training data.Morphologies are shown at the normalized times 𝑡̄ = 0.6, 0.8, 1.0, 1.2 and are obtainedusing 𝑢 𝐹𝐷𝑀 with parameters inferred from the synthetic data in Fig. 3. Only SEG data isused for inference and the training data corresponds to the normalized time 𝑡̄ = 1. Row1: 3D isosurfaces of 𝑢 𝐹𝐷𝑀 at 1% and 30% Row 2: Comparison of predicted contours(solid; 1%, 25%, 50% and 75%) with GT (dotted)
图4. 在与训练数据不同时间点的预测肿瘤形态。形态展示于归一化时间(\bar{t}=0.6)、(0.8)、(1.0)、(1.2),且是使用(u{FDM})得到的,其中参数是从图3的合成数据中推断而来。仅使用SEG数据进行推断,并且训练数据对应于归一化时间(\bar{t} = 1)。第一行:(u{FDM})在1%和30%水平下的三维等值面;第二行:预测轮廓(实线;1%、25%、50%和75%水平)与真实值(虚线)的比较

Fig. 5. Predicted patient-specific tumor morphologies, cell densities and FET-PETdistributions from Patient 5. Row 1: Medical images: (a) T1Gd; (b) FLAIR; © Postprocessed FET-PET (see Section 2.1.4); (d) Original FET-PET data. Row 2: 𝑢 𝐹𝐷𝑀predictions using FET+SEG data. Row 3: 𝑢 𝐹𝐷𝑀 predictions using SEG data only. (e)and (i): Predicted cell density distributions from 𝑢 𝐹𝐷𝑀 together with boundaries of thesegmentations (curves) from the MRI images. (f) and (j): Comparisons of the contours of𝑢* 𝐹𝐷𝑀 at the inferred segmentation thresholds (curves) with MRI segmentations (filled).Margins for CTV RTOG (green) and CTV P (blue); (g) predicted FET-PET distribution.(h) 3D visualization of 1% and 𝑢 W 𝑐 T isosurfaces. (k) Comparison of 1%, 𝑢 W 𝑐 T , and 𝑢 TC 𝑐contours of 𝑢 𝐹𝐷𝑀 (solid) and 𝑢 𝑃 𝐼𝑁𝑁 (dashed). (l) Predicted cell density distributionsfrom 𝑢 𝐹𝐷𝑀 on the registered atlas, together with 𝜕𝛺 (orange)
图5. 来自患者5的特定患者的预测肿瘤形态、细胞密度以及氟乙基酪氨酸正电子发射断层扫描(FET-PET)分布。第一行:医学图像:(a) T1钆增强(T1Gd)图像;(b) 液体衰减反转恢复(FLAIR)图像;© 后处理的FET-PET图像(见2.1.4节);(d) 原始的FET-PET数据。第二行:使用FET+SEG数据得到的(u{FDM})预测结果。第三行:仅使用SEG数据得到的(u{FDM})预测结果。(e)和(i):由(u{FDM})预测的细胞密度分布,以及来自MRI图像的分割边界(曲线)。(f)和(j):在推断的分割阈值下(u{FDM})的轮廓(曲线)与MRI分割结果(填充区域)的比较。放射治疗肿瘤协作组(RTOG)的临床靶区(CTV)边界(绿色)和个性化CTV(CTV P)边界(蓝色);(g) 预测的FET-PET分布。(h) 1%水平和(u{WcT})等值面的三维可视化。(k) (u{FDM})(实线)和(u{PINN})(虚线)在1%、(u{WcT})和(u{TCc})轮廓的比较。(l) 在配准后的图谱上由(u{FDM})预测的细胞密度分布,以及(\partial\Omega)(橙色)。

Fig. 6. Predicted dynamics of tumor from Patient 5 using the FDM at normalized times𝑡̄* = 0.6, 0.8, 1.0, 1.2. The data is provided at 𝑡̄ = 1. The 3D isosurfaces of 𝑢 𝐹𝐷𝑀 at 1%and predicted 𝑢 W 𝑐 T are shown.
图6. 使用有限差分法(FDM)预测的患者5的肿瘤在归一化时间(\bar{t}=0.6)、(0.8)、(1.0)、(1.2)时的动态变化情况。数据是在归一化时间(\bar{t} = 1)时提供的。图中展示了(u{FDM})在1%水平的三维等值面以及预测的(u{WcT}) 。

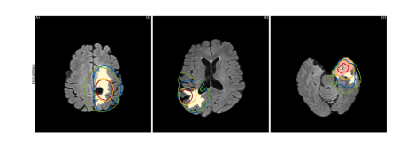
Fig. 7. Parameter estimation results for patients P1–P8 using SEG. (A) Pre-operative T1Gd. (B) Pre-operative FLAIR. © Superposition of predicted tumor cell density 𝑢 𝐹𝐷𝑀 onactual segmentations: WT (yellow line) and TC (red line). (D) Superposition of predicted tumor cell density 𝑢 𝐹𝐷𝑀 on registered atlas with 𝜕𝛺 (orange line). (E) Overlap of inferredsegmentations: 𝑢 W 𝑐 T (yellow line) and 𝑢 TC 𝑐 (red line) on actual segmentations: WT (beige fill) and TC (pink fill); Margins for CTV RTOG (green) and CTV P (blue). (F) Tumor recurrence,compared with margins for CTV RTOG (green) and CTV P (blue). (G) 3D reconstructions of CTV P an
图7:使用SEG数据对患者P1至P8进行参数估计的结果。(A) 术前T1钆增强(T1Gd)图像。(B) 术前液体衰减反转恢复(FLAIR)图像。© 预测的肿瘤细胞密度(u{FDM})与实际分割结果的叠加:全肿瘤(WT,黄线)和肿瘤核心(TC,红线)。(D) 预测的肿瘤细胞密度(u{FDM})与配准后的图谱以及边界(\partial\Omega)(橙线)的叠加。(E) 推断的分割结果的重叠情况:(u{WcT})(黄线)和(u{TCc})(红线)与实际分割结果:全肿瘤(米色填充区域)和肿瘤核心(粉色填充区域);放射治疗肿瘤协作组(RTOG)的临床靶区(CTV)边界(绿色)和个性化临床靶区(CTV P)边界(蓝色)。(F) 肿瘤复发情况,与放射治疗肿瘤协作组(RTOG)的临床靶区(CTV)边界(绿色)和个性化临床靶区(CTV P)边界(蓝色)进行比较。(G) 个性化临床靶区(CTV P)的三维重建。

Fig. 8. Parameter Estimation Results for Patients Q1–Q8 using SEG. Recurrence results for Q1–Q3 are shown in Appendix I Fig . I.20. Legends are the same as 7. Results usingFET+SEGare shown in Appendix I Fig. I.18.
图8:使用SEG数据对患者Q1至Q8进行参数估计的结果。患者Q1至Q3的复发结果见附录I中的图I.20。图例与图7相同。使用FET+SEG数据的结果见附录I中的图I.18。

Fig. 9. Parameter Estimation Results for Patients Q9–Q16 using SEG. Legends are the same as 7. Results using FET+SEG are shown in Appendix I Fig. I.19.
图9:使用SEG数据对患者Q9至Q16进行参数估计的结果。图例与图7相同。使用FET+SEG数据的结果见附录I中的图I.19。

Fig. A.10. Comparison of the effect of using heterogeneous (c = 10) and homogeneous(𝑐 = 1) diffusion. Assuming homogeneous diffusion coefficient leads to sphericalcontours and larger infiltration
图A.10:使用非均匀扩散((c = 10))和均匀扩散((c = 1))的效果比较。假设均匀扩散系数会导致出现球形轮廓,并且会有更大范围的浸润情况。

Fig. B.11. Estimated tumor cell density for P5 using SEG on the registered atlason the patient geometry (T1Gd, left column) and the registered atlas geometry (rightcolumn) using affine registration (top row) and diffeomorphic registration (bottomrow). Diffeomorphic registration leads to better results near the ventricles.
图B.11:对于患者P5,使用SEG数据,分别基于患者自身几何结构配准后的图谱(T1钆增强图像,左列)以及基于配准后的图谱几何结构,采用仿射配准(上排)和微分同胚配准(下排)所估计的肿瘤细胞密度。微分同胚配准在脑室附近能得到更好的结果。

Fig. E.12. Example of training loss for patient P5 with FET+SEG. The left figure showsthe training loss for pre-training with residual loss and 𝑢 𝐹𝐷𝑀 . The right figure showsthe training loss for fine-tuning with segmentation loss and PET loss. The weights arechosen such that the two loss magnitudes are similar.
图E.12:使用FET+SEG数据对患者P5进行训练时的损失示例。左图展示了利用残差损失和(u_{FDM})进行预训练时的训练损失情况。右图展示了通过分割损失和正电子发射断层扫描(PET)损失进行微调时的训练损失情况。权重的选取使得两种损失的量级相近。

Fig. F.13. The distribution of collocation points for the residual loss in the radialdirection is shown as a scatter plot with ̄𝑢 𝐹𝐷𝑀 and r (radii of 𝐱 r ) and color-coded bytime spanning from 0 to 1. The PDE solution is concentrated at the center where thereis a larger gradient at early times, and the collocation points are densely sampledat the center and at early times. Inset (a) shows a histogram of r (normalized to aprobability density function), highlighting that due to near-uniform distribution in polarcoordinates, 𝐱 r is denser at the center. Inset (b) shows a histogram of time (normalizedas a probability density function), indicating a denser sampling in the earlier timeperiods.
图F.13:以散点图的形式展示了在径向方向上用于残差损失的配置点的分布情况,其中横坐标为(\bar{u}{FDM}),纵坐标为®((\mathbf{x}r)的半径),并根据时间(范围从0到1)进行了颜色编码。偏微分方程(PDE)的解集中在中心位置,在早期阶段,该中心位置的梯度较大,并且配置点在中心位置以及早期阶段的采样更为密集。插图(a)展示了®的直方图(已归一化为概率密度函数),突出显示了由于在极坐标中近乎均匀的分布,(\mathbf{x}_r)在中心位置更为密集。插图(b)展示了时间的直方图(已归一化为概率密度函数),表明在较早的时间段内采样更为密集。

Fig. G.14. Illustration of spatially correlated noise, as employed in Fig. 5. Noise isproduced by sampling from a Gaussian distribution (mean 0 and standard deviation 2)at each pixel and subsequently applying a Gaussian filter of size 13
图G.14:如图5中所采用的空间相关噪声的示意图。噪声是通过在每个像素处从高斯分布(均值为0,标准差为2)中采样,然后再应用一个大小为13的高斯滤波器而产生的。

Fig. I.15. Comparison of predicted tumor cell densities 𝑢 𝐹𝐷𝑀 and 𝑢 𝑃 𝐼𝑁𝑁 for patientP5 using SEG data, as supplement to Fig. 5. 𝑢 𝑃 𝐼𝑁𝑁 is influenced by the noise
图I.15:使用SEG数据,对患者P5预测的肿瘤细胞密度(u{FDM})和(u{PINN})进行比较,作为对图5的补充。(u_{PINN})会受到噪声的影响。

Fig. I.16. Parameter estimation results for patients P1–P8 using FET+SEG. Pre-operative T1Gd and FLAIR are identical to Fig. 7. (A) FET signal. (B) Pre-processed PET bysubtracting the background average and normalized to [0,1]. © Superimposition of predicted tumor cell density 𝑢 𝐹𝐷𝑀 on actual segmentations: T1Gd (yellow line) and FLAIR(red line). (D) Predicted FET signal. (E) Overlap of inferred segmentations: 𝑢 W 𝑐 T (yellow line) and 𝑢 TC 𝑐 (red line) on actual segmentations: WT (beige fill) and TC (pink fill); Marginsfor CTV RTOG (green) and CTV P (blue). (F) Tumor recurrence, compared with margins for CTV RTOG (green) and CTV P (blue). (G) 3D reconstructions of CTV P and 𝑢 W 𝑐 T isosurfaces.
图I.16:使用FET+SEG对患者P1至P8的参数估计结果。术前的T1钆增强(T1Gd)图像和液体衰减反转恢复(FLAIR)图像与图7相同。(A) 氟乙基酪氨酸(FET)信号。(B) 经过预处理的正电子发射断层扫描(PET)图像,方法是减去背景平均值并归一化到[0,1]区间。© 将预测的肿瘤细胞密度(u{FDM})叠加在实际的分割图像上:T1钆增强图像(黄线)和液体衰减反转恢复图像(红线)。(D) 预测的氟乙基酪氨酸(FET)信号。(E) 推断出的分割区域的重叠情况:全肿瘤分割阈值对应的(u{WcT})(黄线)和肿瘤核心分割阈值对应的(u{TCc})(红线)叠加在实际的分割区域上,全肿瘤(浅褐色填充)和肿瘤核心(粉红色填充);放疗肿瘤学组规定的临床靶区(CTV({RTOG}),绿色)和特定临床靶区(CTV(P),蓝色)的边界。(F) 肿瘤复发情况,与放疗肿瘤学组规定的临床靶区(CTV({RTOG}),绿色)和特定临床靶区(CTV(P),蓝色)的边界进行比较。(G) 特定临床靶区(CTV(P))和全肿瘤分割阈值对应的(u_{WcT})等值面的三维重建图。

Fig. I.17. Results for patients P1–P8 using characteristic parameters without fine-tuning. For all cases, 𝜇 = 𝜇 = 1, 𝑚 = 1, 𝐴 = 0, 𝑢 TC 𝑐 = 0.6, 𝑢 W 𝑐 T = 0.35. (a) Pre-operative T1Gd.(b) Pre-operative FLAIR. © Superimposition of predicted tumor cell density 𝑢 𝐹𝐷𝑀 on actual segmentations: WT (yellow line) and TC (red line). (d) Predicted FET signal. (d)Overlap of inferred segmentations: 𝑢 W 𝑐 T (yellow line) and 𝑢 TC 𝑐 (red line) on actual segmentations: WT (beige fill) and TC (pink fill); Margins for CTV RTOG (green) and CTV P (glue,
1% contour of 𝑢 𝐹𝐷𝑀 ). (e) Tumor recurrence, compared with margins for CTV RTOG (green) and CTV P (blue). (f) 3D reconstructions of CTV P and 𝑢 W 𝑐 T isosurfaces
图I.17:使用未经微调的特征参数对患者P1至P8的研究结果。在所有病例中,(\mu{\mathcal{D}} = \mu{\mathcal{R}} = 1),(m = 1),(A = 0),(u{TCc}= 0.6),(u{WcT}= 0.35)。(a) 术前的T1钆增强(T1Gd)图像。(b) 术前的液体衰减反转恢复(FLAIR)图像。© 将预测的肿瘤细胞密度(u{FDM})叠加在实际的分割图像上:全肿瘤(WT,黄线)和肿瘤核心(TC,红线)。(d) 预测的氟乙基酪氨酸(FET)信号。(这里你写了两个(d),应该是有误,假设第二个为(e))推断出的分割区域的重叠情况:全肿瘤分割阈值对应的(u{WcT})(黄线)和肿瘤核心分割阈值对应的(u{TCc})(红线)叠加在实际的分割区域上,全肿瘤(浅褐色填充)和肿瘤核心(粉红色填充);放疗肿瘤学组规定的临床靶区(CTV({RTOG}),绿色)和特定临床靶区(CTV(P),此处原文本“glue”应为“blue”,蓝色,是(u{FDM})的1%等值线)的边界。(e)(假设这里实际是(f))肿瘤复发情况,与放疗肿瘤学组规定的临床靶区(CTV({RTOG}),绿色)和特定临床靶区(CTV(P),蓝色)的边界进行比较。(f)(假设这里实际是(g))特定临床靶区(CTV(P))和全肿瘤分割阈值对应的(u{WcT})等值面的三维重建图。

Fig. I.18. Parameter Estimation Results for Patients Q1–Q8 using FET+SEG. Results with SEG is shown in Fig. I.18.
图I.18:使用FET+SEG方法得到的患者Q1至Q8的参数估计结果。使用SEG方法得到的结果见图I.18

Fig. I.19. Parameter Estimation Results for Patients Q9–Q16 using FET+SEG. Results with SEG is shown in Fig. 8.
图I.19:使用FET+SEG方法对患者Q9至Q16进行参数估计的结果。使用SEG方法的结果如图8所示。

Fig. I.20. Recurrent tumors from patients Q1–Q3 and PDE model predictions usingSEG, as supplement to Fig. 9.
图I.20:患者Q1至Q3的复发性肿瘤情况,以及使用SEG数据的偏微分方程(PDE)模型预测结果,作为对图9的补充内容。

Fig. I.21. Comparison of RTOG CTV (green) with Personalized CTV FET+SEG (blue)for patient Q13 over (A) pre-operative tumor and (B) recurrent tumor. Overlap ofinferred segmentations 𝑢 W 𝑐 T (yellow line) and 𝑢 TC 𝑐 (red line) on actual segmentations:WT (beige fill) and TC (pink fill); Margins for CTV RTOG (green) and CTV P (blue)
图I.21:对于患者Q13,放疗肿瘤学组(RTOG)所规定的临床靶区(CTV,绿色)与使用FET+SEG方法得到的个性化临床靶区(CTV,蓝色)的比较,分别针对(A)术前肿瘤和(B)复发性肿瘤。推断出的分割区域,即全肿瘤分割阈值对应的(u{WcT})(黄线)和肿瘤核心分割阈值对应的(u{TCc})(红线),与实际分割区域的重叠情况:全肿瘤(WT,浅褐色填充)和肿瘤核心(TC,粉红色填充);放疗肿瘤学组规定的临床靶区(CTV({RTOG}),绿色)和个性化临床靶区(CTV(P),蓝色)的边界。

Fig. J.22. Box plot of the estimated tumor growth parameters 𝜇∕0.1 and 𝜇∕10for all 24 patients, including the characteristic parameters (labeled as Char) and thefinal parameters after fine-tuning with SEG and FET+SEG data.
图J.22:所有24位患者的估计肿瘤生长参数(\mu{\mathcal{D}\mathcal{D}}/0.1)和(\mu{\mathcal{R}\mathcal{R}}/10)的箱线图,其中包括特征参数(标记为“Char”),以及使用SEG数据和FET+SEG数据进行微调后的最终参数。

Fig. J.23. Box plot of tumor core (TC) and whole tumor (WT) DICE scores andcorrelation with FET signal for all 24 patients using the characteristic solution (labeledas Char), or the solution after fine-tuning with SEG with FET+SEG data.
图J.23:所有24名患者的肿瘤核心(TC)和全肿瘤(WT)的DICE系数,以及与氟乙基酪氨酸(FET)信号的相关性的箱线图。数据分别基于特征解(标记为“Char”),或者是使用SEG数据以及FET+SEG数据进行微调后的解。

Fig. K.24. Correlation between FET signal and solidity of the FET region. Thecorrelation is 0.757 with 𝑝-value 1.8e−5. Ring-like FET signals has solidity valueslower than 1, indicative of a central void, and is related to lower correlation betweenpredicted cell densities and FET signals.
图 K.24:氟乙基酪氨酸(FET)信号与 FET 区域密实度之间的相关性。相关性为 0.757,p值为1.8×10−5 。环状的 FET 信号的密实度值低于 1,这表明存在中心空隙,并且与预测的细胞密度和 FET 信号之间较低的相关性有关。
Table
表

Table 1Average and standard deviation of DICE scores and correlation with FET signal for all24 patients using characteristic parameters, or parameters obtained by fine-tuning withSEG with FET+SEG data. Fine-Tuning leads to better results.
表1:使用特征参数,或使用通过对SEG数据以及FET+SEG数据进行微调所得到的参数,计算出的所有24名患者的DICE系数平均值和标准差,以及与FET信号的相关性。微调可得出更好的结果。

Table 2Comparison of RTOG CTVs with personalized CTVs (1% isosurface of predicted tumor cell density) from different parameter estimation methods: Lipkováet al. (2019), FET+SEG, and SEG: (a) Relative volume with respect to RTOG CTV. (b) Efficiency, the percentage of WT at the first detected recurrencethat is covered by the CTV, see Eq. (20). © Ratio of efficiency over relative volume. In general, the personalized CTVs from Lipková et al. (2019),FET+SEG, and SEG present reduced or similar irradiation volumes while maintaining efficiency comparable to RTOG CTV
表2:放射治疗肿瘤协作组(RTOG)的临床靶区(CTV)与通过不同参数估计方法得出的个性化临床靶区(预测肿瘤细胞密度的1%等值面)的比较:Lipková等人(2019年)的方法、FET+SEG方法以及SEG方法:(a) 相对于RTOG的CTV的相对体积。(b) 有效性,即首次检测到复发时被CTV覆盖的全肿瘤(WT)的百分比,见公式(20)。© 有效性与相对体积的比值。总体而言,Lipková等人(2019年)的方法、FET+SEG方法以及SEG方法得出的个性化CTV,在保持与RTOG的CTV相当的有效性的同时,其照射体积有所减少或相近。

Table A.3Comparison of the performance metrics for heterogeneous (𝑐 = 10) and homogeneous (𝑐 = 1) diffusionmodels using SEG data for patients P1–P8. Metrics include DICE scores for total contrast-enhancing tumor(DICETC) and white matter (DICEWT), correlation with FET signal (corrFET), and efficiency-to-volume ratio(Eff/Vol) for recurrent tumors
表A.3:针对患者P1至P8,使用SEG数据,对非均匀扩散模型((c = 10))和均匀扩散模型((c = 1))的性能指标进行比较。指标包括总对比增强肿瘤的DICE系数((DICE{TC}))和白质的DICE系数((DICE{WT}))、与氟乙基酪氨酸(FET)信号的相关性((corr_{FET})),以及复发性肿瘤的有效性与体积比((Eff/Vol))。

Table B.4Mean and standard deviation of DICE scores for the tumor core (TC) and whole tumor (WT) regions, alongwith the correlation with the FET signal, for a
表B.4:对于某[具体对象,原文此处缺失],肿瘤核心(TC)区域和全肿瘤(WT)区域的DICE系数的平均值和标准差,以及这些区域与氟乙基酪氨酸(FET)信号的相关性。

Table C.5Characteristic parameter estimation from synthetic data. Datasets S1, S3, S5, and S8 use 𝐱0 = (164, 116, 99) while S2, S4, S6, andS7 use 𝐱0 = (65, 70, 99). For this synthetic data, the estimated values for 𝜇 and 𝜇 are near 1, which is the targeted outcome.
表C.5:从合成数据中进行的特征参数估计。数据集S1、S3、S5和S8使用(\mathbf{x}0 = (164, 116, 99)),而数据集S2、S4、S6和S7使用(\mathbf{x}0 = (65, 70, 99))。对于这些合成数据,(\mu{\mathcal{D}})和(\mu{\mathcal{R}})的估计值接近1,这正是预期的结果。

Table C.6Characteristic parameter estimation for patients P1–P8. Parameters 𝐷, 𝜌, and 𝑡 end are from Lipková et al. (2019) and used to compute𝜇* and 𝜇
表C.6:针对患者P1至P8的特征参数估计。参数(D)、(\rho)以及(t{end})源自Lipková等人(2019年)的研究,并用于计算(\mu{\mathcal{D}})和(\mu_{\mathcal{R}}) 。

Table C.7Characteristic parameter estimation for patients Q1–Q16
表C.7:针对患者Q1至Q16的特征参数估计。

Table D.8Baseline and perturbed simulation results for patient P5, showing characteristic parameters, predicted modelparameters, and DICE scores with mean and standard deviation for the perturbed case.
表D.8:患者P5的基线模拟结果和扰动模拟结果,展示了特征参数、预测的模型参数,以及在扰动情况下DICE系数的均值和标准差。

Table G.9Estimated parameters from the synthetic dataset using SEG and FET+SEG, compared with ground truth(GT) values.
表G.9:使用SEG以及FET+SEG方法,从合成数据集中估计出的参数,并与真实值(GT)进行了比较。

Table H.10Statistics of absolute relative error (%) for 𝜇 and 𝜇 in the synthetic dataset (S1–S8) using varied datalosses for fine-tuning. u-t-all uses the ground truth cell density at residual collocation points over times in[0, 1], while u-t-end uses ground truth cell density at data collocation points at time 1. FET+SEG uses noisysegmentation and PET data. SEG uses noisy segmentation data only
表H.10:在合成数据集(S1至S8)中,针对(\mu{\mathcal{D}})和(\mu{\mathcal{R}}),使用不同的数据损失进行微调时的绝对相对误差(%)统计数据。“u-t-all”使用在时间区间([0, 1])内残差配置点处的真实细胞密度,而“u-t-end”使用在时间为1时数据配置点处的真实细胞密度。“FET + SEG”使用含噪声的分割数据和正电子发射断层扫描(PET)数据。“SEG”仅使用含噪声的分割数据

Table I.11Average and standard deviation of DICE scores and correlation with FET signals for all24 patients using 𝑢 𝑃 𝐼𝑁𝑁 . The metrics are in general better than those using 𝑢 𝐹𝐷𝑀 (inTable 1), because 𝑢 𝑃 𝐼𝑁𝑁 might sacrifice fidelity to the PDE to fit the data
表I.11:使用(u{PINN})时,所有24名患者的DICE系数的平均值和标准差,以及与氟乙基酪氨酸(FET)信号的相关性。总体而言,这些指标优于使用(u{FDM})时的指标(见表1),这是因为(u_{PINN})可能会为了拟合数据而牺牲对偏微分方程(PDE)的保真度。

Table I.12Parameters estimated for patients P1–P8 using FET+SEG and SEG data, compared with results from Lipková et al. (2019)(∗ ).Parameters that are not included in the model are marked with ‘‘–’’. Metrics include DICE score for both WT and TCsegmentations, as well as correlation with the FET signal (see Appendix I)
表I.12:使用FET+SEG数据和SEG数据,对患者P1至P8估计出的参数,并与Lipková等人(2019年)的结果(∗)进行比较。未包含在模型中的参数用“–”标记。指标包括全肿瘤(WT)和肿瘤核心(TC)分割的DICE系数,以及与氟乙基酪氨酸(FET)信号的相关性(见附录I)。

Table I.13Metrics for results using the characteristic parameters without fine-tuning. For all cases, 𝜇 = 𝜇 = 1,𝑚* = 1, 𝐴 = 0, 𝑢 TC 𝑐 = 0.6, 𝑢 W 𝑐 T = 0.35. Without finetuning, the metrics are not as good as the resultsin Table I.12.
表I.13:使用未经微调的特征参数所得结果的各项指标。在所有情况中,(\mu{\mathcal{D}} = \mu{\mathcal{R}} = 1),(m = 1),(A = 0),(u{TCc}= 0.6),(u{WcT}= 0.35)。在未进行微调的情况下,这些指标不如表I.12中的结果理想。

Table I.14Estimated parameters and metrics for Patients Q1–Q16, comparison between results using SEG and FET+SEGdata
表I.14:患者Q1至Q16的估计参数和指标,对使用SEG数据和FET+SEG数据所得结果的比较。

Table I.15Comparison of RTOG CTVs with personalized CTVs (1% isosurface of predicted tumor cell density) from FET+SEG and SEG for Q1–Q13. (a)Relative volume with respect to RTOG CTV. (b) Efficiency, the percentage of TC at the first detected recurrence that is covered by the CTV(see text). © Ratio of efficiency over relative volume. In general, the personalized CTVs from FET+SEG and SEG present reduced or similarirradiation volumes while maintaining efficiency comparable to RTOG CTV.
表I.15:对于患者Q1至Q13,放疗肿瘤学组(RTOG)所规定的临床靶区(CTV),与使用FET+SEG以及SEG方法得到的个性化临床靶区(预测肿瘤细胞密度的1%等值面)的比较。(a) 相对于放疗肿瘤学组(RTOG)所规定临床靶区(CTV)的相对体积。(b) 效率,即首次检测到的复发肿瘤中被临床靶区(CTV)覆盖的肿瘤核心(TC)的百分比(详见正文)。© 效率与相对体积的比值。总体而言,使用FET+SEG和SEG方法得到的个性化临床靶区(CTV),在保持与放疗肿瘤学组(RTOG)所规定临床靶区(CTV)相当的效率的同时,呈现出照射体积减少或相近的情况。

Table J.16Paired t-test p-values for the comparison of the estimated parameters and metrics for synthetic (S1–S8) and patient data(P1–P8 and Q1–Q16) using different methods
表J.16:使用不同方法对合成数据(S1至S8)以及患者数据(P1至P8和Q1至Q16)的估计参数和指标进行比较时的配对t检验(p)值。

Table L.17Percentage relative error of estimated parameters and the metrics, comparing effect of personalized pre-training (labeled S[1256])and fixed pre-training based on pre-trained model using characteristic parameter of S7 (labeled S[1256]∗ ). Personalized characteristicparameters give better results.
表L.17:估计参数的相对误差百分比以及各项指标,比较了个性化预训练(标记为S[1256])和基于使用S7特征参数的预训练模型的固定预训练(标记为S[1256] )的效果。个性化特征参数能得出更好的结果。